Menu principale:
Le prime faccette in ceramica venivano utilizzate già alla fine del secolo scorso per migliorare il sorriso degli attori di Hollywood.
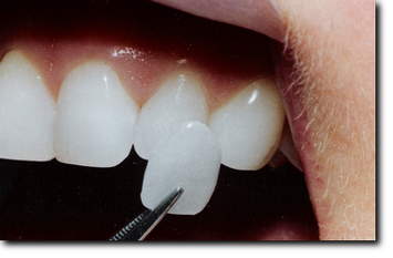
Le tecniche di costruzione e di cementazione erano primitive e questa procedura cadde in disuso fino agli anni 80, quando l’avvento di nuove metodiche adesive rese sicuri e duraturi i restauri in ceramica.
Questo trattamento consiste essenzialmente nella sostituzione della porzione visibile di smalto dentale con un restauro in ceramica che va cementato adesivamente alla superficie del dente acquista proprietà ottiche, meccaniche e biologiche assai simili a quelle dello smalto naturale.
L’indicazione principale è quella di elementi frontali che necessitano di modifiche di forma, colore e posizione.
Anche in questo caso è necessario una visita accurata per decidere se le faccette in ceramica rappresentino la migliore soluzione estetica per il paziente.

